Kausi paketissa
on tapana sanoa syksyllä viimeisen kilpailun jälkeen. Minulle tilanne tuli vastaan jo näin keväällä ja ilman ensimmäistäkään kisaa. No, kävin toki perinteisellä Tiomila-reisulla, mutta vain toppatakkimiehenä. Niin, onhan oikein juhlavuosi. Täydet 40-vuotta ensimmäisestä Tiomila-reissusta, kuten myös ensikuussa ensimmäisestä Jukola-reissusta. On se ollut hienoa aikaa! Tähän on mahtunut monta mukavaa muistoa ja joskus vähän ei-niin-mukavaa, mutta tanakasti positiivisella puolella ollaan. Matkan varrella on päässyt juhlimaan Rastikarhujen, Lynxin ja Kalevan Rastin menestystä, ja aina on tuntunut yhtä hyvältä! Nam, nam - tahtoo tätä lisää!
Niin, että miten niin kausi on paketissa? No, viime vuonnahan toteutui se saatanallisia säkeitäkin pahempi skenaario, jossa Jukola jäi juoksematta, ja 38:san Jukolan putki ei saanutkaan seurakseen 39:ttä. Sitä myöden haave 40:nen Jukolan ultraputkesta murskaantui kertaheitolla. Polvihan se silloin kanitteli. Kirjoitin asiasta vertavuotavan ja sydämen hyydyttävän tarinan sen hetkisistä kokemuksista.
Kesäajan vaan turvottelin polvea sen jälkeen, kun fysioterapia oli ohi. Heinäkuusta alkaen harrastin lenkkeilyn sijaan kävelyä aina lokakuulle, jolloin uskaltauduin taas mukaan kaukalopalloon. Jouluna mukaan tulivat juoksulenkit ja kaikki näytti enemmän, kuin hyvältä aina maaliskuun lopulle saakka. Ja eikö mitä, sen perhanan polvi aloitti viime vuotisen kipuilun. Aikani sitä kattelin ja kotikonsultaation jälkeen päädyin Kallion Tapion pakeille. Siitä sitten magneettikuvaan ja loppudiagnoosin jälkeen operoitavaksi. Ennen operaatiota kyllä kysyin, että vieläkö vanhaan hevoseen kannattaa investoida? Sanottiin, että kyllä, jos polvien yläpuolinen kokonaismassa pienenee lähitulevaisuudessa kymmenellä prosentilla.
Magneettikuva näytti kahta repeämää sisäkierukassa ja sellaiset siellä tähystyksessäkin löytyivät. Oli se metkaa olla operaation aikana pienissä tropeissa. Tarkoitus oli seurata tarkkaavaisena Tapion tekemistä ja vähän neuvoakin mestaria, mutta nukuin melkein koko ajan. Taisi Tapio sanoa Tippa-Iitalle etupeltoon, että laita tupla-annos. Huonoahan tässä on, että taas jää Jukola juoksematta, mutta pelipaikalle kuitenkin pääsen ja se loiventaa tuskaa. No, nyt ei tunnu enää yhtä pahalta, kuin viime vuonna, jolloin ultraputki katkesi. Tästä eteenpäin mennään Jukola kerrallaan. Paimiossa panostan täysillä jälkikasvun etenemisen seurantaan ja sitten on vielä Rastikarhujen vuoden 1985 joukkue, jolle voi toimia vaikka toppatakkimiehenä. Oli ne vaan perhanan kovia kavereita jo junnuista alkaen!
Paimion Jukola: http://www.jukola.com/2015/

Polvet mallia 2014 ja 2015, jälkimmäisen tunnistaa ideal-siteestä. Mitenkä ovatkaan, kuin kaksi marjaa!
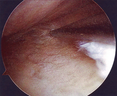
Moni miettii, miltäköhän tuon polven sisällä näyttää? Se selviää vilkaisemalla alla olevia kuvia!

Vasemmanpuoleinen kuva kertoo syvällä olleesta sisäkierukan repeämästä. Oikeanpuoleinen kuva on sisäreiden rustokulumasta, vaikka ei tämmöisellä hyvällä hevosella voi mitään kulumia olla!

Aina jotain hyvääkin löytyy. Tässä on kuva ehjästä eturistisiteestä, joten hyvillä mielin potkitaan tästä eteenpäin!
Rastikarhujen vuoden 1985 joukkue
Minulla oli syksyllä 1979 mahdollisuus päästä autokuskiksi meidän Ripelle, Pyymäen Akulle ja Leksalle poikien päädyttyä siirtymään porilaiseen Rastikarhut seuraan. Samalla sinne siirtyi poikien silloinen valmentaja Niemen Pauli. Rastikarhut oli perustettu vuosi, pari aiemmin muutaman paikallisseuran yhteenliittymänä. Se oli täynnä huippulahjakkaita nuoria sällejä ja valtaisaa tulosta tuli vuosi vuoden jälkeen. Parasta pöydässä oli vuoden 1985 Jukolassa tullut neljäs sija ja saman vuoden Tiomilassa kahdeksas sija. Rastikarhuista oli tullut suomalainen huippuseura. Oli hienoa olla mukana! Nyt 85-pojat ovat viivalla Paimiossa samalla joukkueella ja samassa juoksujärjestyksessä. Ja vaikka kuinka jokainen heistä vihaa häviämistä, tunnustavat he sen tosiasian, ettei voittoon ole enää mahdollisuutta. Tietävät vallan mainiosti, että nuori sonni juoksee vanhempaa kovempaa - pelkällä taidolla ei enää pärjää. Mutta ei hätää, rohkeimmat uskalikot ovat veikanneet joukkueen sijoittuvan kolmensadan parhaan joukkoon. Tämä tietenkin edellyttää hyvää terveystilannetta ja homman hoitumista suunnitelmien mukaan jokaisella osuudella. Kaikki on kuitenkin mahdollista ja omissa käsissä, kun vielä tietää joukkueen avaajana olevan Kellahden Kanuuna sekä ankkurina Ruosniemen Raketti. Joukkue etenee Paimion yössä numerolla 292 - kannattaa seurata!
Jukolan webbisivuilta löytyy pojista vähän tarinaa: Rastikarhujen vuoden 1985 joukkue.
Emmi
Kauden paketointiin kuului myös jotakin positiivista. Mantsu ry palkitsi viimeisimmän tyrvääläisen huippunuoren, Jokelan Emmin, 1500 euron valmennusstipendillä Ikaalisissa SM-keskimatkan finaalin jälkeen. Emmi on jo nyt moninkertainen SM-kultamitalisti sekä nuorten MM-pronssimitalisti, lisäksi hän jatkaa 50-luvulla alkanutta tyrvääläisen suunnistuksen menestysperinnettä. Valmennusstipendin myöntämisen mahdollisti "Tyrvääläisen lentopallon lyhyt oppimäärä 1947-83" -kirjasta tähän mennessä muodostunut myyntituotto. Tulevaisuus on nuorissa!
Kohden Paimion Jukolaa!
